Amalgam dolgu sökümü genelde eskiden dişlerine amalgam dolgu yaptırıp bunu farklı sebeplerden ötürü değiştirmek isteyen kişilere uygulanan bir tedavidir. Amalgam dolgular, kırıldıkları veya dişte çürük meydana geldiği için hasta tarafından sökülmek istenip yerine beyaz dolgu denilen kompozit dolgu tercih edilebilmektedir.
Amalgam dolgu sökümü işleminin bir diğer amacı da amalgam dolgunun içeriğinde bulunan cıvanın insan sağlığına zararlı olabileceği düşüncesidir. Çünkü amalgam dolgu gümüş, bakır, çinko, kalay ve cıva gibi metal bazlı tozların birleşiminden oluşan bir maddedir.
Amalgam Dolgu Sökümü Neden Yapılır?
Diş hekimliği geçmişten günümüze tıpla birlikte sürekli bir gelişim halinde olmuştur. Dişe yapılan dolgu uygulamaları binlerce yıllık bir geçmişe sahiptir. Bu süreçte dolgu işlemleri için çok farklı materyaller kullanılsa da son yüzyılda en çok kullanılan dolgu çeşidi amalgam dolgudur. Fakat son yarım asırlık dönemde amalgam dolguların muhtemel zararları hakkında önemli tartışmalar yaşanmaya başlanmış ve bazı ülkeler amalgam dolguları yasaklarken bazıları da kullanılmamasını tavsiye etmiştir.
1990’lı yıllardan sonra çoğu ülke amalgam dolgu uygulamalarını sınırlandırarak yavaş yavaş kullanımını kaldırmak için çalışmalar yapmıştır. 2013 yılında da Dünya Diş Hekimleri Federasyonu (FDI) tarafından hazırlanan ve Dünya Sağlık Örgütü (WHO), Uluslararası Diş Hekimliği Araştırmaları Birliği ve birçok otorite tarafından desteklenen Minimata Sözleşmesi yaklaşık 100 ülke tarafından imzalanmıştır. Sözleşmenin amacı cıva içeren ürünlerin kontrollü bir şekilde azaltılmasıdır.
Yaşanan tüm bu gelişmeler ve civanın insanların gözünde zararlı bir madde olarak algılanması amalgam dolguların değiştirilmesini hızlandırmıştır. Amalgam dolgunun içeriğinde bulunan cıva diğer metallerle karıştırıldığında yapısı her ne kadar değişse de günümüzde farklı alternatif dolgu çeşitleri geliştirildiği için amalgam dolgu ihtiyacı kalmamıştır. Bu yüzden eskiden amalgam dolgu yaptıran kişiler bu dolgularını söküp yerine yeri kompozit dolgulardan yaptırmayı tercih edebilmektedir.


Amalgam Dolgu İçindeki Cıva Zararlı Mıdır?
Amalgam içeriğinde; Gümüş (Ag), Bakır (Cu), Çinko (Zn), Kalay (Sn) gibi toz halindeki metal elementlerinin, Cıva (Hg) ile karıştırılmasıyla oluşan özel bir karışımdır. Bu karışım uzun yıllar boyunca diş hekimliğinde başarılı bir dolgu materyali olarak kullanılmıştır. Fakat amalgamın içeriğindeki ağır metaller, günümüzde gelişen dolgu materyalleri ve artan estetik algıya bağlı olarak kullanımı hemen sıfırlanmıştır.
Cıva tek başına düşünüldüğünde toksik; canlı organizmaya zararlı bir maddedir. Fakat Bakır, Gümüş ve Kalay metalleri ile birleştiğinde kimyasal yapısı değişerek; yeni, dayanıklı bir ürün oluşur. Karakteristik özellikleri saf haline göre değişir.
Kullanım sürecinde; çiğneme ve öğütme işlemlerinde açığa çıktığı bahsedilen cıva miktarı, beslendiğimiz yiyeceklerden, sudan ve havadan aldığımız miktar ile kıyaslanır. Sonuçlarda dolgu kaynaklı vücuda alınan cıva ya bağlı oluşan zarar; gıdalardan aldığımıza göre çok daha düşüktür. Halk arasında siyah dolgu olarak bilinen bu dolguların zararlı olduğu, vücutta birçok hastalığa neden olduğu konuşulsa da bilimsel olarak kanıtlanmış bir sonuç yoktur.
Günümüzde diğer dolgu materyallerindeki gelişime karşısında Amalgam dolguya ihtiyacımız kalmasa da bilimsel olarak kanıtlanmamış bir materyal için zararlı demek mümkün değildir.
Amalgam Dolguyu Söktürmeli Miyim?
Sökülmesi için gereken nedenler olduğu takdirde Evet, kullanım sırasında kırılmış, uyumsuz, estetik olarak uygun olmayan dolgular; bağlantısı gelişmiş ve estetik dolgular ile değiştirilir. Sağlam duran, kapanışa uygun fonksiyonel olan, estetik problem yaratmayan bir dolguyu zararlı endişesi ile söktürmemenizi tavsiye ediyorum.
Bu konuda yurt dışında yapılan araştırmalara bakmamız da bize yol gösterecektir. Unutulmamalıdır ki Bilim evrenseldir. Bilim olarak zararlı kabul edilen bir şeyin uygulanması düşünülemez.
- FDA (Amerikan Gıda ve İlaç İdaresi): Elimizdeki mevcut kanıtlara dayanarak amalgam dolguları yetişkinler ve 6 yaşından büyük çocuklar için güvenli kabul ediyoruz. Amalgam dolgu sahibi kişilerin vücudunda ölçülen cıva miktarları, sağlığa zararlı seviyelerin çok altındadır. Ağzında 15 tane amalgam dolgu bulunan kişilerde dahi ölçülen cıva miktarı zarar verici minimum seviyenin çok altında bulunmuştur. Amalgam dolgular ve sağlık problemleri arasında kanıtlanabilmiş bir ilişki yoktur. Alerjik bir sorun yoksa sağlam ve sağlıklı amalgam dolguların sökülmesini önermiyoruz.
- EPA (Çevre Koruma Teşkilatı): CDC gibi kuruluşların araştırmalarından hareketle anlaşılmıştır ki, amalgam dolgu taşıyan kişilerin risk altında olduğu yönünde veya bunların çıkartılmasının sağlığa faydalı olduğu konusunda çok az bilimsel veri mevcuttur.
- LSRO (Life Sciences Research Org): 1996-2003 yılları arasında gerçekleştirilen ve diş dolgularından kaynaklanan cıvanın insan sağlığına olası etkilerini araştıran çalışmalarda incelenmiş ve bu çalışmalarda kesin sonuçlar alınmadığı görülmüştür.
- Bu çalışmaların çoğu eksik ve özensiz tasarımlar içermektedir. Vücuttan cıvayı uzaklaştırmak için bazı kişilerce uygulanması önerilen şelasyon tedavisi ise beyin dokusundaki cıvayı uzaklaştıramamasının yanı sıra, ciddi yan etki potansiyeline sahiptir.-
- NCPC (National Capital Poison Center): Amerikan ulusal örgütlerinin yürürlükte olan tavsiye kararlarında diş hekimlerinin hastalarının amalgam dolgu uygulamalarına bir sınır getirilmemiştir, zira bu konudaki çalışmalar, ısrarla amalgam dolgularla ilişkilendirilebilecek bir cıva toksisitesi göstermeyi reddetmektedir. Alerjik durumlar dışında sağlam dolguların çıkartılmasını önermeyi gerektirecek bir veri yoktur.
- CDC (Centers for Disease Control and Prevention): Amalgam dolgulardan ortaya çıkan cıva miktarının günde 3 ila 17 mikrogram arasında olduğu tahmin edilmektedir. Amalgam dolgulardan kaynaklanan düşük oranda cıvaya maruz kalmanın sağlık için bir zararı bulunmamaktadır.
- ADA (American Dental Association): Cıvaya maruz kalma miktarlarını ve cıva kaynaklarını inceleyen çalışmalarda, amalgam dolgular kaynaklı cıvanın sağlığa bir etkisi bulunmamıştır.
- Avrupa ülkelerinde de Türkiye’de olduğu gibi Amalgam dolgu yaptırılması ile ilgili bir yasak yoktur. Yine ülkemizdeki gibi gelişen estetik dolgular, hatta gerektiğinde uygulanabilecek altın dolgular arttığı ile arka plana alınmıştır. Norveç ve İsveç farklı bir şekilde amalgam dolguların uygulanması sonlandırmıştır. Buna neden olarak diğer alternatiflerin daha az riskli olduğu, çevre ve insan sağlığına olası zararları engellemek olduğu bildirilmiştir.
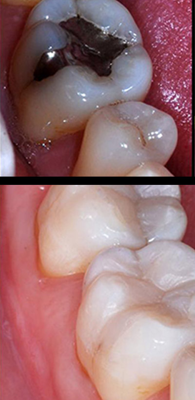
Amalgam Dolgu Değişimi Nasıl Yapılır?
Amalgam değişimi sırasında temel prensip çıkan artıkların ağız içi ortamdan ve havadan hızlıca uzaklaştırılmasıdır. Hastanın artıkları yutması, soluması istenmeyen bir durumdur. Lastik örtü dediğimiz rubber dam ile ağız ortamından izole edilen diş üzerindeki amalgam kuvvetli aspiratör eşliğinde dişten uzaklaştırılır. Rubber dam kullanılmadığı takdirde söküm sonrası metal iyonu uzaklaştırıcı solüsyonlar kullanılabilir. Sonrasında temizlenen bölgeye istenilen tedavi uygulanır. Amalgam doldu söküm fiyatları da söküm sonrası yapılması planlanan işleme göre değişiklik gösterir.
Amalgam Dolgu Değişimi Protokolü sırasında, amalgam taneciklerinden hastanın korunması kadar hekimin kendi korunması da önemlidir. Bir hastanın her gün düzenli amalgam söktürmesi gibi bir durum olmayacaktır fakat bu işlemleri sıklıkla yapan bir diş hekiminin her gün planladığı sökümler olabilir. Buna bağlı olarak ortama çıkan cıvadan ve metal partiküllerinden sağlık ekibi de korunmalıdır.


Amalgam Dolgu Dezavantajları
Günümüzde artık neredeyse hiç tercih edilmeyen amalgam dolgular hem sağlık açısından hem de estetik görünmemeleri açısından diğer dolgu yöntemlerine göre bazı dezavantajlara sahiptir. Bunların başlıcaları şu şekildedir;
- Artık birçok muayenehanede uygulanmamaktadır.
- Diş sıkma olan hastalarda cıva salınımına devam ettiğini belirten çalışmalar mevcuttur.
- Estetik bir görünüm sağlamazlar.
- Zamanla, dişin dolguyu çevreleyen kısmında renklenmeye sebep olabilirler.
- Metale alerjisi bulunan kişilerde alerjik reaksiyonlara sebep olabilirler.
Amalgam Dolgu Yerine Hangi Dolgu Yapılabilir?
Eğer amalgam dolgunuzu başka bir dolgu ile değiştirmek isterseniz, tercih edebileceğiniz iki dolgu türü bulunmaktadır. Bunlar;
- Kompozit dolgu (Beyaz dolgu)
- Seramik Dolgu
Tedavileridir. Her iki dolgu türünün de kendine has özellikleri ve avantajları bulunmaktadır. Bunlara kısaca değinelim.
Kompozit dolgu: Estetik dolgu olarak da bilinen kompozit dolgu hem estetik hem de kozmetik kaygılardan dolayı uygulanan bir diş restorasyon tedavisidir. Dolgu uygulanan dişle kimyasal olarak birleşen kompozit dolgular, renk ve geçirgenlik açısından da doğal diş yapısına uyumludur. Dişlerle aynı renkte olmaları sebebiyle fark edilmezler ve gülüş estetiğini bozmazlar. Diş kırılması durumunda kompozit dolgularla dişin restorasyonu mümkündür. Diğer dolgular bu işlem için tercih edilmezler.
Seramik dolgu: Dişte fazla miktarda madde kaybı meydana geldiğinde ve dişin iyice küçültülerek kuron uygulamasına ihtiyaç duyulduğu durumlarda, sağlıklı dişin korunması amacıyla geliştirilen bir dolgu yöntemidir. Görüntüsü daha estetik ve daha kullanışlı olduğundan, amalgam dolguların yerine tercih edilen dolgulardır.

Amalgam Dolgu Sökme İşlemini Nasıl Yapıyoruz?
Amalgam dolgunun dişten söküm işlemi oldukça hassas, belli protokollere göre uygulanması gereken bir işlemdir. Bu işlem sırasında amalgam dolgunun içerisinde bulunan cıvanın hem hastaya hem de hekime karşı oluşturabilecek olası bazı tehlikelerden korunmak için bu işlemin dikkatli ve titiz bir şekilde gerçekleştirilmesi gerekir. Bu süreçte hem hekimin hem de hastanın korunması için uyguladığımız prosedür şu şekildedir.
Korunması gereken artıklar (İşlem sırasında ortaya çıkan);
- Amalgamın bileşeni olan toz tanecikler
- Büyük amalgam parçaları
- İşlem sırasında ortaya çıkan cıva buharı
Hastanın Korunması için yapılması gerekenler;
- Rubber Dam – Lastik Örtü (Amaç çevre dokulardan amalgam sökülen alanı izole etmektir.)
- Hasta gözlüğü (Parça sıçraması riskine karşın korunmadır.)
- Oksijen desteği (Söküm alanına en yakın olan hasta burnudur, ortam havalandırmasına ek olarak verilecek oksijen, riskleri azaltacaktır.)
- Metal bağlayıcı ile yıkama (Ağız içi dokulara sızmış olabilecek en az partikülleri de uzaklaştırma işlemidir.)
- Ortamdaki cıva buharının uzaklaştırılması için kuvvetli aspiratörler ve ortamın havalandırılmasıdır.
Hekimin Korunması için yapılması gerekenler;
- Hekim ve asistan gözlüğü
- Korunaklı maske
- Ortamdaki cıva buharının uzaklaştırılması için kuvvetli aspiratörler ve ortamın havalandırılması
- Eldiven
- Amalgam dolgu sökümünde ayrıca günde; büyük 2 adet amalgamdan fazlasının sökülmemesi planlanır. Ufak çapta olan 3 dolgu uygulanabilir.

Hazırlıklar tamamlandıktan sonra söküm işlemine geçilir. Bölgedeki amalgam uzaklaştırılmaya başlanır. Amalgamı kaldırırken tamamen toz hale getirmek yerine, bütün parça şeklinde çıkarılması idealdir. Bu aynı zamanda daha az cıva buharı artık madde çıkmasını sağlayacaktır. Söküm esnasında 2 adet kuvvetli aspiratör kullanılır ve ortama çıkan cıva buharı hızlıca uzaklaştırılmaya çalışır. Amalgam tamamen kaldırıldıktan sonra, lastik örtü çıkarılır. Metal artıkların ağız dokularına bulaşmış olma ihtimali çok düşük olmasına rağmen yine riskleri azaltmak adına; özel metal bağlayıcı solüsyon ile ağız dokuları yıkanır. Sonrasında amalgam dolgu yerine yapılacak planlamaya geçilebilir. (Kanal tedavisi, kompozit dolgu, cam ionomer dolgu gibi.)
Uyguladığımız Amalgam Dolgu Değişimi Protokolü
Amalgam dolgu sökme işlemi için uyguladığımız oldukça detaylı bir prosedür bulunmaktadır. Bu prosedürün amacı, amalgam dolguyu sökerken hastanın herhangi bir parçacığı yutmaması, hekimin ve asistanının havaya karışabilen zerreciklerden etkilenmemesidir.
Amalgam sökerken uyguladığımız dolgu yöntemi şu şekildedir:
Hekim ve asistan hazırlanır;
- Maske takılır.
- Bone takılır.
- Eldiven takılır.
- Gözlük takılır.
Hasta işleme hazırlanır;
- Söküm yapılacak alana Rubber Dam – Lastik Örtü tatbik edilir. (Bu sayede artıkların ve atıkların ağıza bulaşması engellenir.)
- Ortama ve hastaya oksijen desteği sağlanır.
- Gözlük takılır.
- Gerekiyorsa bone takılır.
Amalgam Dolgu Sökümü Fiyatları
Amalgam dolgu sökme tedavisi diğer dolgu türlerinin sökülmesine oranla daha detaylı ve zor bir süreçtir. Bu yüzden amalgam dolgu sökme fiyatı da standart dolgu tedavilerinden biraz fazla olabilmektedir. Sökme işleminden sonra uygulanacak işlem ve tedaviye göre de fiyat değişebilmektedir.
Büyük ve derin dolgular amalgam söküldükten sonra ekstra kanal tedavisi ihtiyaç olabilmektedir. Net fiyat ancak hekimin muayenesinden sonra belirlenebilmektedir.






























