Zirkonyum Kaplamalar

Zirkonyum kaplamalar son dönemlerde yaygınlık kazanmaya başlayan diş kaplama yöntemlerindendir. Diş kaplama malzemesi olarak kullanılan Zirkonyum, beyaz veya gümüş renginde bir elementtir.

Zirkonyum kaplamalar atom numarası 40 olan Zirkonyum elementi kullanılarak elde edilen diş kaplama yöntemidir. Diş kaplama tedavilerinde zirkonyumun tercih edilmesinin temel sebebi zirkonyumun doğal diş yapısına çok yakın olmasıdır.

Zirkonyum Diş Kaplamaları

Geçmişten günümüze çok farklı diş tedavi yöntemleri geliştirilmiştir. Diş tedavilerinden bazıları var olan bir rahatsızlığı gidermeye yönelik iken; bazıları restorasyon amacıyla yapılır. Diş kaplamaları da diş restorasyonu amacıyla yapılan tedavilerdendir. Diş kaplama tedavileri, dişlerdeki istenmeyen görünüm ve renklenmelerin giderilmesi amacıyla yapılır. Diş kaplamalarında farklı materyallerden elde edilen kaplamalar kullanılabilmektedir. Günümüzde en çok tercih edilen diş kaplama malzemeleri; zirkonyum, kompozit, seramik ve metal malzemelerdir.

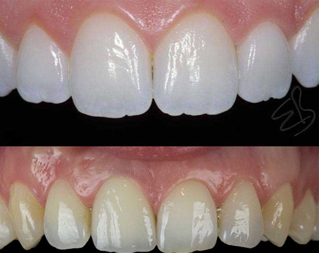
Zirkonyum diş kaplama, zirkonyum adı verilen malzeme kullanılarak üretilir. Zirkonyum kaplama, doğal diş rengine oldukça yakın bir renge sahiptir. Diş kaplama malzemesi olarak tercih edilmesinin önemli sebepleri bulunur. Bunlar; ışık geçirgenliğinin doğal dişlere yakın değerde olması, ısıya ve darbelere karşı dayanıklı olması ve ağzı sağlığına herhangi bir zararı olmamasıdır. Zirkonyumdan elde edilen diş kaplamaları diş estetiği tedavilerinde sıklıkla tercih edilmektedir.

Zirkonyum Diş Kaplama Avantajları

Diş kaplamalarında doğal ve estetik bir görünümün elde edilebilmesi önemlidir.  Zirkonyum kaplamalar hem görünümleri hem de sağlamlıklarıyla gülüş tasarımı ve diş estetiğinde sık sık kullanılmaktadır. Peki, zirkonyum diş kaplama avantajları nelerdir?

  • En büyük avantajlarından biri ışık geçirgenliği ve estetik görünümüdür,
  • Kişinin isteği doğrultusunda, istenilen renkte çalışabilir,
  • İstenildiği takdirde kaplanacak dişin rengi tamamen maskelenebilir,
  • Metal alerjisi olan kişilerde uygulanır,
  • Biyouyumludur, dişlerin, ağız içi dokuların sağlığına olumsuz etkisi yoktur,
  • Pürüzsüz ve parlak bir yüzeye sahiptir,
  • Metal destekli sistemlere göre daha ince çalışılabilir. Bu da yapılacak diş preparasyon miktarını azaltır,
  • Ortodontik tedavinin uygulanamayacağı durumlarda ayrık ve çarpık dişlere estetik görünüş kazandırılabilir,
  • Diş eksikliğinde uygulanan köprü restorasyonlarında metal destekli porselenlere göre en iyi alternatiftir,
  • Zirkonyum uygulama süresi arka bölge dişlerde tek seansta bitirilebilir. Ancak estetik tedavilerde 5-7 gün civarında sürmektedir.

Zirkonyum Diş Kimlere Yapılır?

Zirkonyum diş kaplama dişlerinde doğuştan veya sonraki dönemlerde görünüm bozukluğu bulunan dişlere uygulanan bir yöntemdir. Zirkonyum kaplamalar ile dişlerdeki renklenme kaynaklı rahatsızlıklar da diş kaybı yaşanmadan giderilebilmektedir. Zirkonyum diş kaplama hangi durumlarda tercih edilir?

  • Eski kaplamaların değiştirileceği ve estetik bir sonuç hedeflenen durumlarda
  • Mine kaybı olan dişlerde
  • Kalıtsal diş renklenmelerinin, yapısal mine bozukluklarının olduğu durumlarda
  • Büyük, parçalı ve renklenmiş dolguları olan dişlerde
  • Ortodontik tedavi planlanamayan veya uygun olmayan diş çapraşıklıkları, diş ayrıklıklarında
  • Arka grup dişlerde köprü, kaplama olarak (Uzun dişsiz boşluklar hariç)
  • Aşırı madde kaybı, aşınma olan dişlerde
  • İmplant üstü protezlerde

Yukarıdaki sebeplerle zirkonyum kaplamalar tercih edilebilir. Fakat muayene olmadan, internet üzerinden alınan bilgiler yanıltıcı olabilir. Zirkonyum kaplamalar gibi, Emax, Empress, Laminate veneer (Yaprak porselen), Bonding gibi birçok tedavi şekli vardır. Bu tedavilerden hangisinin size uygun olduğu konusunda en doğru bilgiyi hekiminiz verecektir.

Zirkonyum Kaplama Nasıl Yapıyoruz?

Zirkonyum diş kaplama yaptırmak isteyen hastamızı öncelikle detaylı bir kontrolden geçiriyoruz. Bu aşamada röntgen filmi veya tomografi yöntemleriyle hastanın ağız ve diş sağlığı hakkında bilgi topluyoruz. Hastanın yaşadığı diş problemlerinin hangi yöntemlerle giderilebileceğini hastamıza detaylı olarak aktarıp tedavi yöntemlerini tüm yönleriyle aktarıyoruz. Hastanın onayıyla birlikte tedavi sürecini başlatıyoruz.

  • Öncelikle hastanın başka bir diş problem varsa onu tedavi ediyoruz
  • Ardından kaplama yapılmak istenen dişlere kaplamaların tam olarak uyumlu olması için dişlerde küçük miktarda aşındırma yapıyoruz
  • Gerekli aşındırmalar yapıldıktan sonra dişlerden ölçü alıp bunları dijital ortama aktarıyoruz
  • Belirlenen ölçülerdeki dişlerin siparişini laboratuvara verip hastaya geçici kaplamalar uyguluyoruz
  • Zirkonum kaplamalar ortalama 1 haftadan sonra elimize ulaşmaktadır
  • Gerçek zirkonyum kaplama elimize geçtikten sonra geçici kaplamaları çıkartıp zirkonum diş kaplamalarını dişlere uyguluyoruz.
  • Kaplamaların dişlerle mükemmel bir şekilde uyuması için son rötuşları yapıp kaplamaları dişlere yapıştırıyoruz.
  • Böylece hastamızı rahatsızlık duyduğu görünümden kurtarıp daha sağlıklı ve estetik bir gülümsemeye kavuşturabiliyoruz.

Zirkonyum Diş Fiyatları 2025

Diş kaplama fiyatları diş kaplamasında kullanılan malzemenin türüne göre farklılık göstermektedir. Zirkonyum diş kaplama fiyatları Lamina kaplamalara göre daha uygundur. Aynı şekilde metal destekli diş kaplamaların fiyatları da zirkonyum kaplamalara göre daha uygundur.

Diş kaplama ücretleri ayrıca illere ve zirkonyum kaplama yapılmadan önce hastanın ihtiyaç duyabileceği diğer tedavilere göre de farklılık gösterebilmektedir. Zirkonum kaplama fiyatları hakkında net bilgi ancak diş hekiminin kontrolü sonrası belirlenebilmektedir. Fakat ortalama diş tedavileri fiyatları için buradan Türk Tabipler Birliği’nin 2021 yılı için belirlediği örnek tedavi tablosuna göz atabilirsiniz.

Zirkonyum Diş Fiyatları 2021

Zirkonyum kaplamalarda dişlerden yapılacak aşındırma(kesim) miktarı dişten dişe değişkenlik gösterir. Aynı dişler üzerinden düşünürse Porselen lamina için yapılan aşındırma ile kıyasla daha fazladır. Metal destekli kaplamalara göre daha az kesim yeterli olmaktadır. İstenen sonuç; tedavi planı ve kesim miktarını belirler.

Dişlere uygun şekilde, hassas bir işçilikle yapılmış zirkonyumlar kaynaklı oluşması mümkün değildir. Tabi ki kişinin ağız bakımı, diş fırçalaması çok önemlidir. Ağız bakımı iyi ve diş etleri sağlıklı olan kişilerde ağız içi koku oluşumuna zirkonyumlar neden olmaz.

Parlak, pürüzsüz, camsı yüzeyler olduğu için renklenme olmaz. Besinler üzerindeki yapışabilecek artıklar yüzeye tutunabilir fakat ilk fırçalamada oradan uzaklaşacaktır. Çay, kahve, sigara için de bu geçerlidir. Renklenmemesi bizim için diş fırçalamamızı ve ağız bakımını azaltmak için bir neden değil aksine daha iyi bakım için motivasyonumuzdur.

Seramik kaplamaların en güzel özelliklerinden iki tanesi renklenmemesi ve diş etine uyumlu olmasıdır. Bu avantajı uzun ömürlü hale getirmek içinse iyi bir ağız bakımı şarttır. Günde 2 kez diş fırçala ve diş ipi uygulaması, gerektiği durumlarda gargara ile desteklenmesi bu işin adeta sigortasıdır. Düzenli diş hekimi kontrolleri ile desteklenmesi sayesinde oluşabilecek sorunlar da önlenecektir.

Ağız içi restorasyonlar için net ömür şu kadar diye bilgi vermek çok mümkün değildir. Düzenli diş hekimi kontrolünde olan, diş bakımına özen gösteren kişiler çok uzun yıllar kullanmaktadır. Zirkonyum maddesel olarak dirençli ve dayanıklı bir malzemedir. Ağız bakımına hiç dikkat etmeyen bir kişide 1-2 yıl içerisinde gelecek diş eti çekilmesi veya diş eti problemleri ile estetik kayıp olacaktır. Aynı şekilde uzun yıllar bakım problemi olursa alttaki dayanak dişler de zarar görecektir.

Evet yapılır. Estetik bölgelerde özellikle tercih edilir. Kaplamalar, implantların abutment adını verdiğimiz parçasına yapıştırılır veya vidalanır. Diş eti çıkış profilinin oluşturulması, gri yansımaların olmaması için implantın abutment parçasına t-base olarak da bilinen çıkış profil yapısı tercih edilir. Zirkonyum implant çıkış profilleri ile estetik bölgelerde çok doğal sonuçlar alınabilmektedir. Bu sayede estetik olarak yansıma ve uyumsuzluk göstermeyen, doğal dişlerden ayırt edilmesi zor zirkonyum dişler oluşturulur.

Diş ve diş eti sağlığı en yükseğe çıkarılır ve ölçü aşamasına hazırlandıktan sonra zirkonyum uygulaması başlar.

Ölçü alındıktan sonra yaklaşın 4-7 gün içerisinde gülüş estetiği tamamlanabilir. Bu süreç içinde estetik sorun ve hassasiyet olmaması için geçici dişler uygulanır.  Daimiler kadar estetik olmasa da geçici sürede diş hassasiyeti azaldığı ve hastayı diş eksikliği görüntüsünden kurtardığı için çok değerlidir.

Yol Tarifi Alın!

Bize Yazın

İletişim Formu-TR